Izrada anteriornog mosta: materijal konstrukcije VITA YZ, fasetiran s VITA VM 9

 

 

 

Master Dental Technician Björn Czappa

 

  • Nakon usavršavanja u Gladbecku u Njemačkoj, specijalizirao se za implantološku tehnologiju u raznim ordinacijama i laboratorijima u Oldenburgu i Bremenu.
  • 1991. Osnivanje vlastitog laboratorija m.c.zahntechnik u Oldenburgu u Njemačkoj.
  • 1995. Položio je ispite za majstora zubnog tehničara, kao najbolji u svojoj klasi, na HWK Halle u Njemačkoj.
  • 2006. Obuka za dentalnog estetičara.
  • Međunarodni predavač/voditelj tečajeva, specijaliziran za tehnologiju individualnih keramičkih ljuskica, potpunu keramiku, estetiku prednjih zuba i implantološku protetiku.

 

 

Početno stanje

Gipsani model početnog stanja pacijenta.

U prethodnom tretmanu, očnjac 23 je izvađen i zamijenjen restauracijom koja nije uzela u obzir zub 23. To je rezultiralo gubitkom volumena i simetrije.

Navoskanje

Obnova pune simetrije navoskanjem zuba 23 i povećanje volumena gingive.

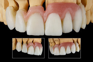
Cirkonska konstrukcija

Cirkonijska konstrukcija nakon voštanog modeliranja s kompenzacijom velikog koštanog defekta.

Labialni pogled

Labialni pogled na dovršeni, fasetirani prednji most.

Palatinalni pogled

Palatinski pogled na dovršeni, fasetirani prednji most.

Površinske teksture

Detalji površinske teksture.

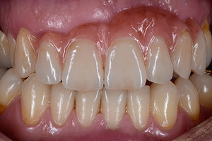
Konačni rezultat

Završna restauracija u ustima

 

Podijelite vijesti

Natrag